Periapikal röntgen, diş hekimliğinde kullanılan bir tür radyografidir. Dişlerin kök bölgeleri ile çevresindeki kemik yapısını görüntülemek için özel olarak tasarlanmıştır. Bu işlemin temel amacı, dişlerdeki çürükler, apikal periodontit gibi hastalıklar ve diş kökleri etrafındaki yapının sağlık durumu hakkında bilgi sağlamaktır. Periapikal röntgenler, genellikle dental muayene sırasında kullanılan önemli bir tanı aracıdır.
Periapikal röntgen çekimi, genellikle bir diş kliniğinde diş hekimi tarafından yapılır. İşlem sırasında aşağıdaki adımlar izlenir:
Hazırlık: İlk olarak, hastanın röntgen çekimi için uygun bir pozisyonda oturması sağlanır. Ayrıca, hastanın radyasyondan korunması için kurşun önlük gibi koruyucu ekipman kullanılır.
Röntgen Filmi Yerleştirme: Periapikal röntgen filmi, dişlerin kök bölgesini ve çevresindeki kemik yapısını görüntülemek üzere ağızda uygun bir pozisyonda yerleştirilir. Film, diş hekimi tarafından doğru bir şekilde konumlandırılmalıdır.
Röntgen Makinesi İle Çekim: Röntgen makinesi, hastanın başından uzak bir mesafeye konumlandırılır ve film üzerine X-ışınları gönderilir. Bu aşamada hastanın hareketsiz durması önemlidir. Çekim işlemi genellikle birkaç saniye sürer.
Filmin Geliştirilmesi: Çekimden sonra, film ortalama 5-10 dakika içinde geliştirilir ve sonuç olarak elde edilen görüntü, diş hekiminin incelemesine sunulur.
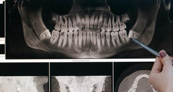
Periapikal röntgen, dişlerin kök yapılarını ve çevresindeki kemik dokularını detaylı bir şekilde gösterebilir. Bu sayede, diş hekimleri çürümüş dişleri, kök enfeksiyonlarını veya çene kemiğinde oluşan sorunları tespit edebilir. Çekilen röntgenler genellikle siyah-beyazdır ve dişlerin durumu hakkında net bir fikir sunar.
Diş hekimliğinde kullanılan farklı türde röntgenler bulunmaktadır. Periapikal röntgen, bu türlerden sadece biridir. İşte periapikal röntgen ile diğer yaygın diş röntgen türleri arasındaki temel farklar:
Periapikal Röntgen: Bu tür röntgenler, dişin tamamen görüntülenmesini sağlamak için tasarlanmıştır. Dişin kökleri, çevresindeki kemik yapısı ve diş eti durumu gibi detayları net bir şekilde gösterir.
Panoramik Röntgen: Panoramik röntgen, çenenin tüm dişlerini ve çevresindeki yapıları tek bir görüntüde gösteren daha geniş bir röntgen türüdür. Ancak bireysel dişlerin kök yapısına dair detaylı bilgi vermez.
Koni Beams Röntgen (CBCT): Bu daha gelişmiş bir teknik, üç boyutlu görüntüler elde edilmesine olanak tanır. Özellikle implant uygulamaları ve ortodontik tedaviler öncesinde detaylı bilgi sunar. Ancak, daha yüksek düzeyde radyasyona maruz kalmayı gerektirebilir.
Bitewing Röntgen: Bitewing röntgenleri, dişlerin üst ve alt kısımlarının bir arada görüntülendiği röntgenlerdir. Diş çürükleri ve dolgu durumunu kontrol etmek için kullanılır.
Her röntgen türü, farklı durumlar için belirli avantajlar sunar ve diş hekimleri, hastanın ihtiyaçlarına göre en uygun röntgen türünü seçerler.
Periapikal röntgen, diğer tıbbi röntgen türleri gibi düşük seviyede radyasyon kullanılarak yapılır. Genel olarak, bu işlem güvenli kabul edilir, ancak bazı olası riskleri ve zararı vardır:
Radyasyon Maruziyeti: Herhangi bir röntgen işlemi gibi, periapikal röntgen de belirli bir düzeyde radyasyona maruz kalmayı gerektirir. Ancak, bu maruziyet miktarı genellikle düşük ve kısa süreli olur. Diş röntgenleri, vücut için kabul edilebilir radyasyon limitleri içinde kalır.
Yüksek Radyasyon Düzeyleri: Uzun vadeli veya aşırı tekrarlanan röntgen çekimleri, vücutta biriken radyasyona yol açabilir. Bu nedenle, diş hekimleri, gerekmedikçe röntgen çekim sıklığını azaltmaya çalışırlar.
Yan Etkiler: Röntgen filminin ağızda tutulması sırasında bazı hastalar rahatsızlık hissi yaşayabilir. Ancak bu, genellikle kısa sürelidir ve aman sorun olarak görülmez.
Hamilelik: Röntgen çekimleri, özellikle hamile kadınlar için önerilmez. Eğer gerekli ise, diş hekimi mutlaka koruyucu önlemler almalıdır.
Periapikal röntgen yaptırmadan önce, diş hekiminize sağlık geçmişiniz hakkında açık ve dürüst bilgi vermelisiniz. Aşağıdaki bilgileri paylaşmanız önemlidir:
Diş hekiminiz, bu bilgileri dikkate alarak röntgenin gerekliliğini, güvenliğini ve alternatif yöntemleri değerlendirecektir.
Henüz yorum yapılmadı,
İlk Yorum yapan siz olun...
AK Parti’de Eskişehir için ikinci şans istisna olur mu?
Tarkan Demir
Albayrak’ın başı çok ağrıyacak
Kerem Akyıl
Silahları evinizden uzak tutun!
Kaan Özcan
Eskişehir’in ihtiyacı vardı
Seval Erci
Eskişehir'in komşusunda öyle bir miras var ki...
Funda Morgül
Bu bayram ihmalin bedeli ağır olmasın
Ümit Polatbaş
Bornova Afyonspor’dan daha zor rakip
Ahmet D. Canoruç
CHP’liler önce birbirini kazanabilirse sonra seçimleri de kazanab…
Meltem Karakaş
Gürhan Albayrak ve Eskişehir İçin Yeni Bir Dönem
Rifat V. Halas
Sürdürülebilir kulüp kültürü
Konuk Kalem
2023 yılında bizi neler bekliyor?
Tülin Karagöz
Düşükler neden tekrarlar?
Op. Dr. Alper Turgut
Sağlığınız için
Uzm. Dr. Burcu Aydemir Efelerli
Vatandaşları aydınlattık
M. Murat Aslan
Hayır, o yaşamak istiyor
Seda Göksoy
